2sao.vietnamnetjsc.vn - /images/2022/08/05/19/53/


[To Parent Directory]

8/5/2022 7:53 PM 205555 an-choi.jpg
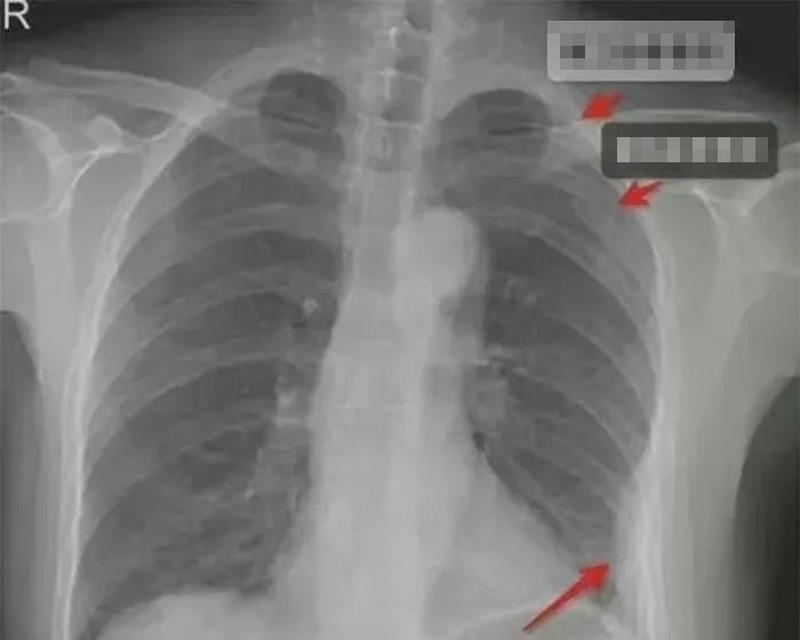
8/5/2022 7:53 PM 47199 bi-nam-dong-nghiep-om-qua-manh-co-gai-gay-3-xuong-suon.jpg